PathoPic – image database / PathoPic ID 4007 - Verkäsende Lymphknotentuberkulose

de
Diagnose
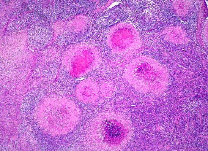
Verkäsende Lymphknotentuberkulose
Diagnose Gruppe
Entzündung infektiös
Topographie
Lymphknoten, Kopf-cervikal
Topographie Gruppe
Lymphatische Gewebe, KM, Milz
Beschreibung
Zahlreiche helle Granulome mit zentraler eosinophiler verkäsender Nekrose.
Klinik
Konglomerattumor am Hals mit Fistelbildung bei Patient aus Zimbabwe.
Kommentar
Die Primär-Tuberkulose manifestiert sich meist in der Lunge (>90%), seltener in den Halslymphknoten, im Darm oder in der Haut.
Bilder Typ
Histologie
Vergrösserung
25
Alter
15
Geschlecht
männlich
Datum
Ersteintrag: 13.01.2002
Update: 04.02.2024