PathoPic – image database / PathoPic ID 4009 - Lymphknotentuberkulose: verkäsendes Granulom

de
Diagnose
Lymphknotentuberkulose: verkäsendes Granulom
Diagnose Gruppe
Entzündung infektiös
Topographie
Lymphknoten, Kopf-cervikal
Topographie Gruppe
Lymphatische Gewebe, KM, Milz
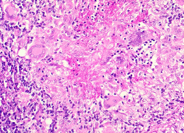
Beschreibung
Exsudatives Granulom mit zentraler verkäsender Nekrose. Um die Nekrose gruppieren sich Epitheloidzellen mit reichlich hellem Zytoplasma und Riesenzellen vom Langhans Typ mit hufeisenförmig peripher angeordneten Zellkernen.
Klinik
Konglomerattumor am Hals mit Fistelbildung bei Patient aus Zimbabwe.
Bilder Typ
Histologie
Vergrösserung
200
Alter
15
Geschlecht
männlich
Datum
Ersteintrag: 13.01.2002
Update: 04.02.2024