PathoPic – image database / PathoPic ID 4012 - Lymphknotensarkoidose (Morbus Boeck)

de
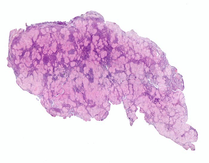
Diagnose
Lymphknotensarkoidose (Morbus Boeck)
Diagnose Gruppe
Systemerkrankung/Immunpathologie
Topographie
Lymphknoten, inguinal
Topographie Gruppe
Lymphatische Gewebe, KM, Milz
Beschreibung
Zahlreiche helle konfluierende Granulome durchsetzen das Lymphknotenparenchym.
Klinik
Vergrösserte inguinale Lymphknoten bei bekannter Sarkoidose mit Befall der Lungen.
Bilder Typ
Histologie
Vergrösserung
Scan
Alter
37
Geschlecht
unbekannt
Datum
Ersteintrag: 13.01.2002
Update: 04.02.2024