PathoPic – image database / PathoPic ID 4014 - Lymphknotensarkoidose (Morbus Boeck)

de
Diagnose
Lymphknotensarkoidose (Morbus Boeck)
Diagnose Gruppe
Systemerkrankung/Immunpathologie
Topographie
Lymphknoten, inguinal
Topographie Gruppe
Lymphatische Gewebe, KM, Milz
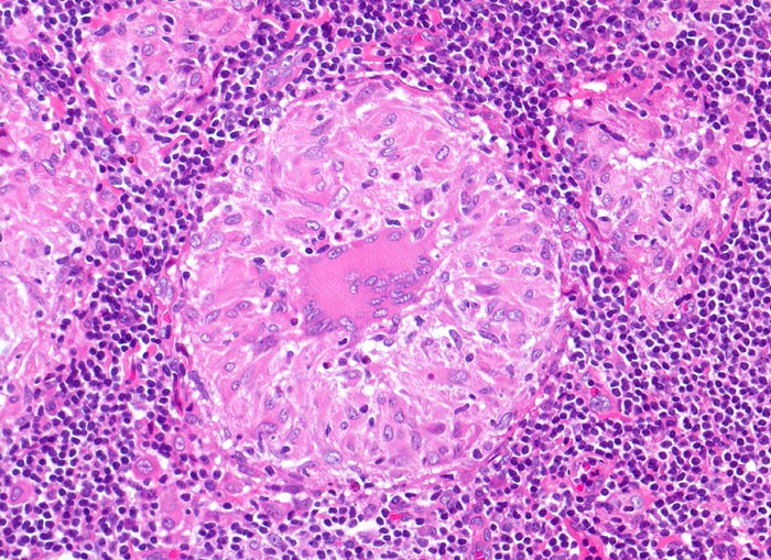
Beschreibung
In der Bildmitte ein rein produktives Granulom mit zentral gelegener Riesenzelle vom Langhanstyp und Epitheloidzellen (längsovale, schuhsohlenartige Kerne und reichlich Zytoplasma).
Klinik
Vergrösserte inguinale Lymphknoten bei bekannter Sarkoidose mit Befall der Lungen.
Kommentar
Epitheloidzellige Granulome sind nicht spezifisch für Sarkoidose. Sie können beispielsweise bei guter Abwehrlage auch bei einer Tuberkulose auftreten. Seltenerweise kann man auch bei einer Sarkoidose verkäsende Granulome nachweisen. Die Diagnose einer Sarkoidose sollte erst nach Ausschluss anderer granulomatöser Entzündungen gestellt werden. Zum histologischen Ausschluss einer rein produktiven Tuberkulose wäre es notwendig, eine Ziehl-Neelsen-Färbung durchzuführen, um die säurefesten stäbchenförmigen Tuberkelbakterien nachzuweisen. Diese Bakterien wären in den Epitheloidzellen und vor allem auch in den Riesenzellen zu finden. Bei relativ guter Abwehrlage können die säurefesten Stäbchen aber auch bei der Tuberkulose fehlen.
Bilder Typ
Histologie
Vergrösserung
200
Alter
37
Geschlecht
unbekannt
Datum
Ersteintrag: 13.01.2002
Update: 04.02.2024