PathoPic – image database / PathoPic ID 4016 - infektiöse Mononukleose

de
Diagnose
infektiöse Mononukleose
Diagnose Gruppe
Entzündung infektiös
Topographie
Tonsille
Topographie Gruppe
Lymphatische Gewebe, KM, Milz
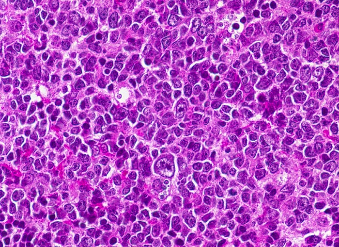
Beschreibung
Aktivierung der interfollikulären T-Zone (=sogenannte bunte Pulpahyperplasie mit Vermehrung verschiedener Zellarten). Beachte die hodgkinartigen Zellen (=reaktive/aktivierte B- resp. T-Lymphozyten).
Klinik
Tonsillektomie bei einem Studenten mit Angina, Lymphknotenschwellungen und einer Lymphozytose im Blut.
Kommentar
Differentialdiagnose der Mononukleose: grosszelliges Non-Hodgkin Lymphom, Morbus Hodgkin (Reed-Sternberg-Zellen ähnliche Zellen können bei Mononukleose vorkommen!), andere Erreger (Röteln, Toxoplasmose), reaktive Hyperplasie bei Medikamenten-Allergie oder Autoimmunität.
Diagnosebestätigung durch immunhistologischen Nachweis des Latent Membrane Antigens (LMA) im Zytoplasma der infizierten Zellen und/oder des Epstein-Barr Virus nukleären Antigens (EBNA) in EBV-transformierten Immunoblasten oder molekularbiologischer in-situ Nachweis von EBV-DNA (EBER-1). Virusserologie.
Bilder Typ
Histologie
Vergrösserung
400
Alter
16
Geschlecht
männlich
Datum
Ersteintrag: 13.01.2002
Update: 04.02.2024