PathoPic – image database / PathoPic ID 4017 - infektiöse Mononukleose

de
Diagnose
infektiöse Mononukleose
Diagnose Gruppe
Entzündung infektiös
Topographie
Tonsille
Topographie Gruppe
Lymphatische Gewebe, KM, Milz
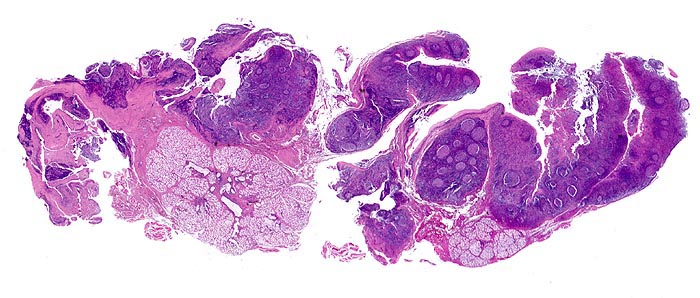
Beschreibung
Aktivierung der B-Lymphozyten-Areale (EBV induzierte Infektion und Stimulation der EBV-Rezeptor tragenden B-Zellen): grosse, aktivierte Keimzentren (= follikuläre Hyperplasie).
Aktivierung der T-Lymphozyten-Areale (Virusantigen-induzierte Aktivierung der spezifischen antiviralen T-Zell Antwort): interfollikuläre Hyperplasie. Speicheldrüsen.
Klinik
Tonsillektomie bei einem Studenten mit Angina, Lymphknotenschwellungen und einer Lymphozytose im Blut.
Bilder Typ
Histologie
Vergrösserung
Scan
Alter
16
Geschlecht
männlich
Datum
Ersteintrag: 28.09.2002
Update: 04.02.2024