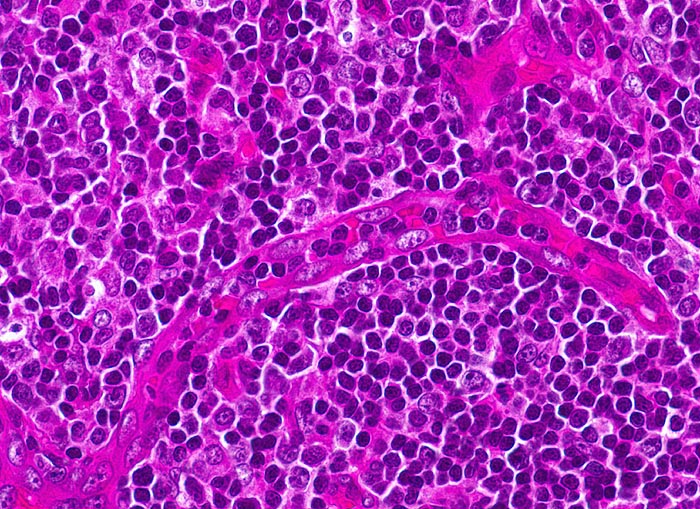
Hochendotheliale postkapilläre Venole mit gesteigerter Lymphozyten-Rezirkulation. Daneben buntes Zellbild: kleine Lymphozyten, stimulierte Lymphozyten, Immunoblasten mit zentralem Nukleolus und Plasmazellen mit paranukleärer Aufhellung des Zytoplasmas.
Klinik
Tonsillektomie bei einem Studenten mit Angina, Lymphknotenschwellungen und einer Lymphozytose im Blut.