PathoPic – image database / PathoPic ID 4022 - Akute lymphatische Leukämie (ALL)

de
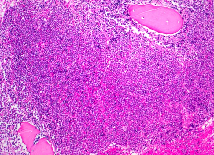
Diagnose
Akute lymphatische Leukämie (ALL)
Diagnose Gruppe
maligner Tumor
Topographie
Knochenmark, Beckenkamm
Topographie Gruppe
Lymphatische Gewebe, KM, Milz
Beschreibung
Verdrängung des Fettmarkes durch diffuse undifferenzierte Tumorzellrasen. Weitgehende Verdrängung der Myelo-, Erythro- und Megakaryopoese (monotones Bild).
Klinik
Vergrösserte Lymphknoten, Hepato-Splenomegalie. Knochen- und Gelenkschmerzen, vermehrte Müdigkeit.
Bilder Typ
Histologie
Vergrösserung
100
Alter
13
Geschlecht
männlich
Datum
Ersteintrag: 13.01.2002
Update: 04.02.2024