Pathopic
HiPaKu
ZyPaKu
PathoBasic
PathoBasic Cytology
Quizzes
Projektinfos
PathoPic - Projekt- und Copyright-Infos
About
Pathopic
HiPaKu
ZyPaKu
PathoBasic
PathoBasic Cytology
Quizzes
PathoPic – image database
/
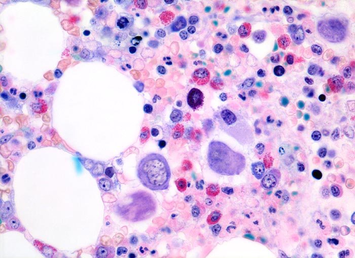
PathoPic ID 4024 - normales blutbildendes Knochenmark: Mastzelle
de
Diagnose
normales blutbildendes Knochenmark: Mastzelle
Diagnose Gruppe
Normalbefund
Topographie
Knochenmark, Beckenkamm
Topographie Gruppe
Lymphatische Gewebe, KM, Milz
Beschreibung
Vorstufen der Myeloposes mit rot granuliertem Zytoplasma.
Megakaryozyten. Eine
Mastzelle mit basophil granuliertem Zytoplasma. Segmentkernige reife
Granulozyten.
Bilder Typ
Histologie
Vergrösserung
630
Alter
43
Geschlecht
männlich
Datum
Ersteintrag: 28.09.2002
Update: 04.02.2024
CPS
·
©
2024 Institut für Pathologie Basel
/
Dr. med. Katharina Glatz-Krieger
.
·
v2.1