Pathopic
HiPaKu
ZyPaKu
PathoBasic
PathoBasic Cytology
Quizzes
Projektinfos
PathoPic - Projekt- und Copyright-Infos
About
Pathopic
HiPaKu
ZyPaKu
PathoBasic
PathoBasic Cytology
Quizzes
PathoPic – image database
/
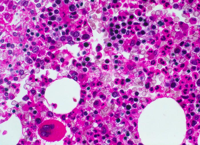
PathoPic ID 4026 - normales blutbildendes Knochenmark
de
Diagnose
normales blutbildendes Knochenmark
Diagnose Gruppe
Normalbefund
Topographie
Knochenmark, Beckenkamm
Topographie Gruppe
Lymphatische Gewebe, KM, Milz
Beschreibung
Markzentral sind alle drei Blutbildungsreihen vertreten und zeigen eine normale Ausreifung.
Myelopoese,
Megakaryopoese und
Erythropoese.
Bilder Typ
Histologie
Vergrösserung
40
Alter
43
Geschlecht
männlich
Datum
Ersteintrag: 13.01.2002
Update: 04.02.2024
CPS
·
©
2024 Institut für Pathologie Basel
/
Dr. med. Katharina Glatz-Krieger
.
·
v2.1