PathoPic – image database / PathoPic ID 4028 - normales blutbildendes Knochenmark

de
Diagnose
normales blutbildendes Knochenmark
Diagnose Gruppe
Normalbefund
Topographie
Knochenmark, Beckenkamm
Topographie Gruppe
Lymphatische Gewebe, KM, Milz
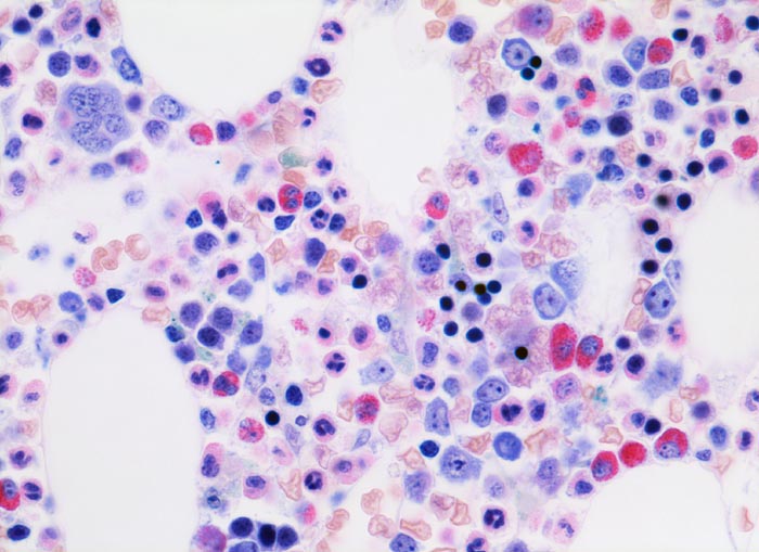
Beschreibung
Alle drei Reihen der Blutbildung sind vertreten: links oben ein grosser Megakaryozyt mit lobuliertem Kern. Rote Blutbildung: Erythroblast mit basophilem Zytoplasmasaum und mehreren peripher gelegenen Nukleolen. Normoblast mit kleinem dichtem rundem Kern und wenig Zytoplasma. Vorstufen der Myelopoese mit granuliertem Zytoplasma und teilweise gebuchteten Kernen. Reife Granulozyten mit segmentierten Kernen.
Bilder Typ
Histologie
Vergrösserung
630
Alter
43
Geschlecht
männlich
Datum
Ersteintrag: 28.09.2002
Update: 04.02.2024