PathoPic – image database / PathoPic ID 4029 - normales blutbildendes Knochenmark

de
Diagnose
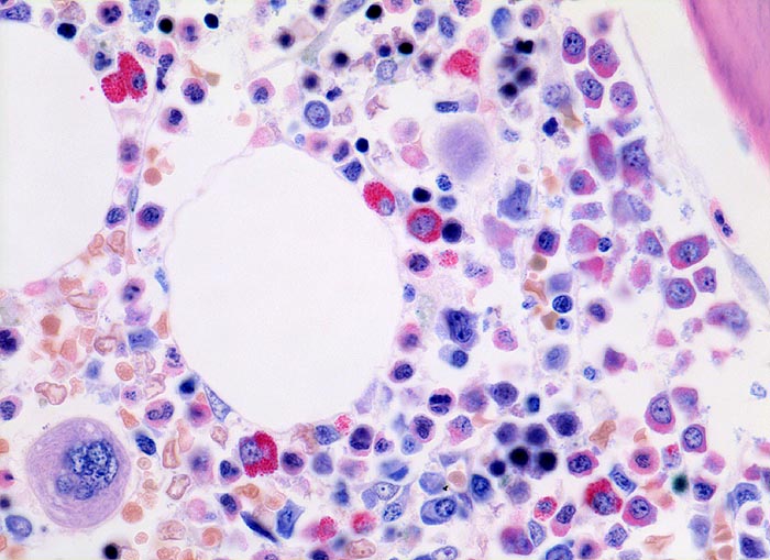
normales blutbildendes Knochenmark
Diagnose Gruppe
Normalbefund
Topographie
Knochenmark, Beckenkamm
Topographie Gruppe
Lymphatische Gewebe, KM, Milz
Beschreibung
Paratrabekulär lokalisierte $o{qy8054875unreife myeloische Zellen} unreife myeloische Zellen (granuliertes Zytoplasma) mit Ausreifung gegen Markzentral ( neutrophile Granulozyten links im Bild). Erythron markzentral. Einzelne Plasmazelle. Megakaryozyt.
Bilder Typ
Histologie
Vergrösserung
630
Alter
43
Geschlecht
männlich
Datum
Ersteintrag: 28.09.2002
Update: 04.02.2024