PathoPic – image database / PathoPic ID 4041 - Lymphknotensarkoidose: Riesenzelle mit Asteroidkörperchen

de
Diagnose
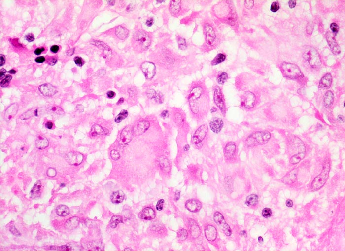
Lymphknotensarkoidose: Riesenzelle mit Asteroidkörperchen
Diagnose Gruppe
Systemerkrankung/Immunpathologie
Topographie
Lymphknoten, inguinal
Topographie Gruppe
Lymphatische Gewebe, KM, Milz
Beschreibung
Neben mehreren Epitheloidzellen findet sich eine Riesenzelle vom Langhanstyp mit einem sternförmigen Asteroidkörperchen im Zytoplasma.
Klinik
Vergrösserte inguinale Lymphknoten bei bekannter Sarkoidose mit Befall der Lungen.
Kommentar
Asteroidkörperchen sind typisch, aber nich pathognomonisch für Sarkoidose. Sie können beispielsweise auch bei einer Berylliose vorkommen. Dies gilt auch für die lamellär geschichteten intrazytoplasmatischen Verkalkungen (Schaumann Körperchen), welche im vorliegenden Fall nicht nachweisbar waren.
Bilder Typ
Histologie
Vergrösserung
630
Alter
37
Geschlecht
unbekannt
Datum
Ersteintrag: 19.01.2002
Update: 04.02.2024