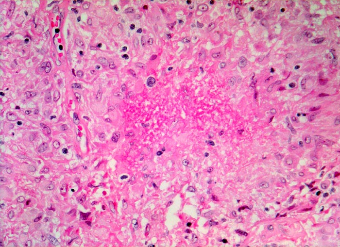
Lymphknotensarkoidose (Morbus Boeck): Granulom mit Nekrose
Diagnose Gruppe
Systemerkrankung/Immunpathologie
Topographie
Lymphknoten, inguinal
Topographie Gruppe
Lymphatische Gewebe, KM, Milz
Beschreibung
Exsudatives Granulom mit zentraler Nekrose (Bildmitte).
Klinik
Vergrösserte inguinale Lymphknoten bei bekannter Sarkoidose mit Befall der Lungen.
Kommentar
Seltenerweise kann man auch bei einer Sarkoidose verkäsende Granulome nachweisen. Zum histologischen Ausschluss einer produktiven Tuberkulose muss in diesem Fall eine Ziehl-Neelsen-Färbung durchgeführt werden, wobei ein negativer Bakteriennachweis die Tuberkulose nicht ausschliesst.