Diagnose
chronische hyperplastische Tonsillitis
Diagnose Gruppe
Hyperplasie / Hypertrophie
Topographie Gruppe
Lymphatische Gewebe, KM, Milz
Beschreibung
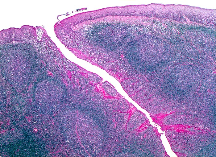
Das hyperplastische lymphatische Gewebe wird bedeckt von Plattenepithel, welches eine schlitzförmige Einsenkung (Krypte) bildet. Unter dem Plattenepithel zahlreiche Sekundärfollikel.
Datum
Ersteintrag: 04.03.2002
Update: 04.02.2024