PathoPic – image database / PathoPic ID 4052 - Tonsille mit Sekundärfollikel

de
Diagnose
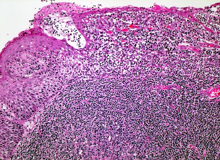
Tonsille mit Sekundärfollikel
Diagnose Gruppe
Normalbefund
Topographie
Tonsille
Topographie Gruppe
Lymphatische Gewebe, KM, Milz
Beschreibung
Ein sekundärer Lymphfollikel mit angeschnittenem Keimzentrum wird bedeckt von Plattenepithel der Mundschleimhaut. Zahlreiche Lymphozyten infiltrieren das darüberliegende Epithel, was in der Tonsille ein Normalbefund darstellt.
Bilder Typ
Histologie
Vergrösserung
100
Alter
20
Geschlecht
männlich
Datum
Ersteintrag: 04.03.2002
Update: 04.02.2024