PathoPic – image database / PathoPic ID 4057 - normale Kolonschleimhaut

de
Diagnose
normale Kolonschleimhaut
Diagnose Gruppe
Normalbefund
Topographie
Kolon
Topographie Gruppe
Darm, Anus
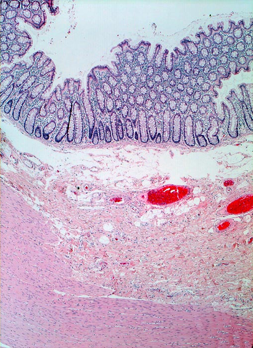
Beschreibung
Kolonmucosa mit regelmässig parallel angeordneten Krypten. In den oberen Abschnitten sind die Krypten orthogonal angeschnitten und erscheinen deshalb als runde Drüsenschläuche. In der Lamina propria ein lockeres Infiltrat von Entzündungszellen. Unterhalb der schmalen Lamina muscularis mucosae die fibrovaskuläre Schicht der Submucosa. Ganz unten im Bild die glattmuskuläre Muscularis propria.
Bilder Typ
Histologie
Vergrösserung
25
Alter
67
Geschlecht
unbekannt
Datum
Ersteintrag: 04.03.2002
Update: 04.02.2024