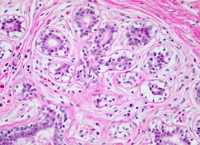
Die terminale duktulolobuläre Einheit der Mamma umfasst einen intralobulären Ausführgang und zu einem Läppchen angeordnete Alveolen. Alveolen und Ausführgang werden vom gleichen zweischichtigen Epithel ausgekleidet. Das intralobuläre kollagenfasrige Gewebe ist etwas lockerer als das extralobuläre.