Pathopic
HiPaKu
ZyPaKu
PathoBasic
PathoBasic Cytology
Quizzes
Projektinfos
PathoPic - Projekt- und Copyright-Infos
About
Pathopic
HiPaKu
ZyPaKu
PathoBasic
PathoBasic Cytology
Quizzes
PathoPic – image database
/
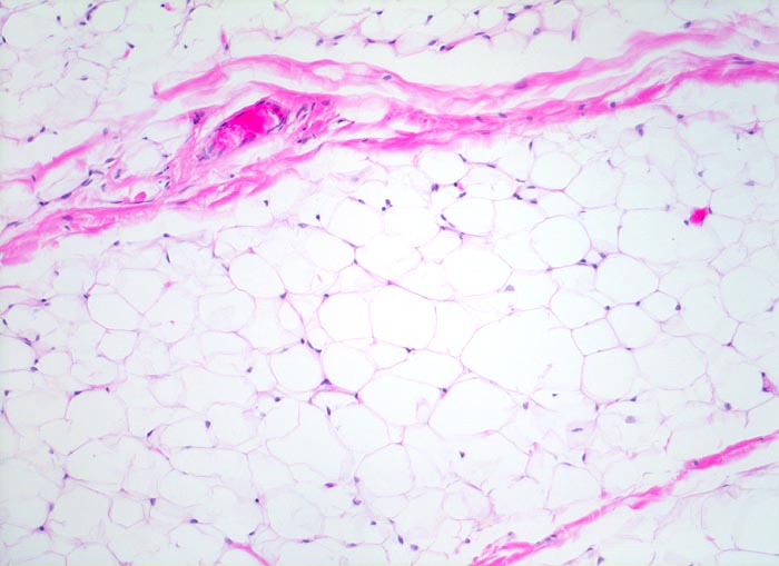
PathoPic ID 4062 - reifes Fettgewebe
de
Diagnose
reifes Fettgewebe
Diagnose Gruppe
Normalbefund
Topographie
Weichteile Rumpf
Topographie Gruppe
Weichteile
Beschreibung
Reife Fettzellen mit reichlich transparentem Zytoplasma. Das Fettgewebe wird von schmalen fibrovaskulären Septen durchzogen.
Bilder Typ
Histologie
Vergrösserung
100
Alter
44
Geschlecht
unbekannt
Datum
Ersteintrag: 04.03.2002
Update: 04.02.2024
CPS
·
©
2024 Institut für Pathologie Basel
/
Dr. med. Katharina Glatz-Krieger
.
·
v2.1