Pathopic
HiPaKu
ZyPaKu
PathoBasic
PathoBasic Cytology
Quizzes
Projektinfos
PathoPic - Projekt- und Copyright-Infos
About
Pathopic
HiPaKu
ZyPaKu
PathoBasic
PathoBasic Cytology
Quizzes
PathoPic – image database
/
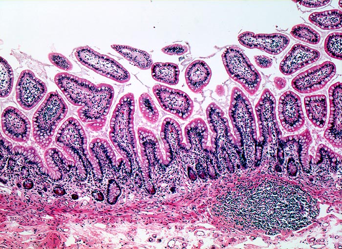
PathoPic ID 4064 - normale Ileumschleimhaut
de
Diagnose
normale Ileumschleimhaut
Diagnose Gruppe
Normalbefund
Topographie
Ileum
Topographie Gruppe
Darm, Anus
Beschreibung
Regelmässig aufgebaute Dünndarmmucosa mit
Zotten und
Krypten. Lockeres Entzündungsinfiltrat in der Lamina propria. Lymphfollikel in der Submucosa.
Bilder Typ
Histologie
Vergrösserung
50
Alter
34
Geschlecht
unbekannt
Datum
Ersteintrag: 02.10.2002
Update: 04.02.2024
CPS
·
©
2024 Institut für Pathologie Basel
/
Dr. med. Katharina Glatz-Krieger
.
·
v2.1