Pathopic
HiPaKu
ZyPaKu
PathoBasic
PathoBasic Cytology
Quizzes
Projektinfos
PathoPic - Projekt- und Copyright-Infos
About
Pathopic
HiPaKu
ZyPaKu
PathoBasic
PathoBasic Cytology
Quizzes
PathoPic – image database
/
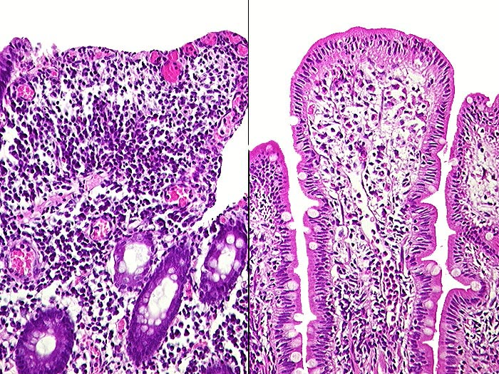
PathoPic ID 409 - Florider Morbus Crohn
de
Diagnose
Florider Morbus Crohn
Diagnose Gruppe
Entzündung / Reparatur
Topographie
Ileum
Topographie Gruppe
Darm, Anus
Beschreibung
Beide Bilder stammen aus derselben Biopsie der Dünndarmanastomose. Rechts praktisch normale Dünndarmschleimhaut. Links verplumte oberflächlich erodierte Zotten.
Klinik
St.n. Ileozökalresektion vor 20 Jahren wegen Morbus Crohn. Rezidivierter Dünndarmileus.
Bilder Typ
Histologie
Alter
52
Geschlecht
männlich
Datum
Ersteintrag: 09.11.2001
Update: 04.02.2024
CPS
·
©
2024 Institut für Pathologie Basel
/
Dr. med. Katharina Glatz-Krieger
.
·
v2.1