Pathopic
HiPaKu
ZyPaKu
PathoBasic
PathoBasic Cytology
Quizzes
Projektinfos
PathoPic - Projekt- und Copyright-Infos
About
Pathopic
HiPaKu
ZyPaKu
PathoBasic
PathoBasic Cytology
Quizzes
PathoPic – image database
/
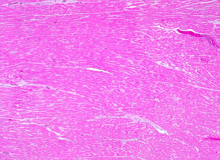
PathoPic ID 4118 - normales Myokard
de
Diagnose
normales Myokard
Diagnose Gruppe
Normalbefund
Topographie
Herz
Topographie Gruppe
Kardiovaskuläres System
Beschreibung
Regelmässig angeordnete schmale Herzmuskelfasern. Im Interstitium einzelne Gefässe mit sehr wenig Bindegewebe.
Bilder Typ
Histologie
Vergrösserung
100
Alter
33
Geschlecht
männlich
Datum
Ersteintrag: 04.03.2002
Update: 04.02.2024
CPS
·
©
2024 Institut für Pathologie Basel
/
Dr. med. Katharina Glatz-Krieger
.
·
v2.1