PathoPic – image database / PathoPic ID 4141 - Plasmazellmyelom

de
Diagnose
Plasmazellmyelom
Diagnose Gruppe
maligner Tumor
Topographie
Knochenmark, Wirbelkörper
Topographie Gruppe
Lymphatische Gewebe, KM, Milz
Beschreibung
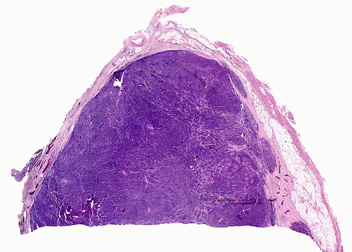
Von schmalen bindegewebigen Septen durchzogene solide basophile Tumormasse ohne erkennbare Markstrukturen. Im Randbereich sind einzelne Knochenbälkchen erkennbar.
Klinik
Notfalleinweisung wegen umschriebenen Thoraxschmerzen ohne adäquates Trauma. Im Röntgenbild Nachweis multipler Frakturen der Wirbelsäule und der Rippen bei grobsträhniger Osteoporose. In der Serumelektrophorese Nachweis einer Paraproteinämie.
Kommentar
Diagnosesicherung: Immunhistologischer Nachweis von monoklonalem Immunglobulin (IgG oder IgA und kappa- oder lambda-Leichtketten in einem Verhältnis von >1:16 bzw. >16:1). Klinisch entsprechender Nachweis einer Paraproteinämie oder Proteinurie (Bence-Jones Protein = monoklonale freie Leichtketten).
Bilder Typ
Histologie
Vergrösserung
Scan
Alter
64
Geschlecht
männlich
Datum
Ersteintrag: 04.03.2002
Update: 04.02.2024