PathoPic – image database / PathoPic ID 4144 - Appendixmucosa mit Lymphfollikeln

de
Diagnose
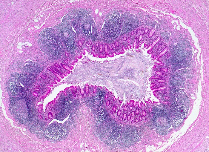
Appendixmucosa mit Lymphfollikeln
Diagnose Gruppe
Normalbefund
Topographie
Appendix vermiformis
Topographie Gruppe
Darm, Anus
Beschreibung
Kolonmucosa mit regelmässig ausgerichteten Krypten um ein zentrales Lumen. Lymphatisches Gewebe in Form von Lymphfollikeln in der Lamina propria und der angrenzenden Submukosa.
Klinik
Gelegenheitsappendektomie.
Bilder Typ
Histologie
Vergrösserung
25
Alter
22
Geschlecht
unbekannt
Datum
Ersteintrag: 04.03.2002
Update: 04.02.2024