PathoPic – image database / PathoPic ID 4145 - normale Appendixschleimhaut

de
Diagnose
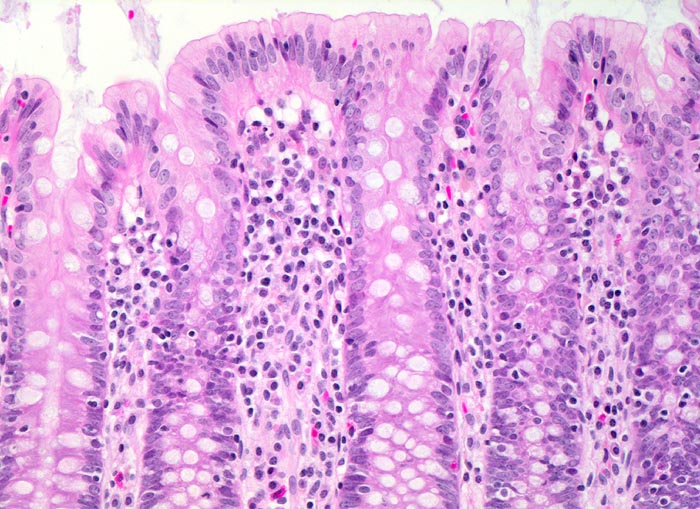
normale Appendixschleimhaut
Diagnose Gruppe
Normalbefund
Topographie
Appendix vermiformis
Topographie Gruppe
Darm, Anus
Beschreibung
Kolonmukosa mit regelmässig ausgerichteten Krypten. Lockeres lymphoplasmazelluläres und histiozytäres Entzündungsinfiltrat im Stroma.
Klinik
Gelegenheitsappendektomie.
Bilder Typ
Histologie
Vergrösserung
200
Alter
33
Geschlecht
unbekannt
Datum
Ersteintrag: 04.03.2002
Update: 04.02.2024