Pathopic
HiPaKu
ZyPaKu
PathoBasic
PathoBasic Cytology
Quizzes
Projektinfos
PathoPic - Projekt- und Copyright-Infos
About
Pathopic
HiPaKu
ZyPaKu
PathoBasic
PathoBasic Cytology
Quizzes
PathoPic – image database
/
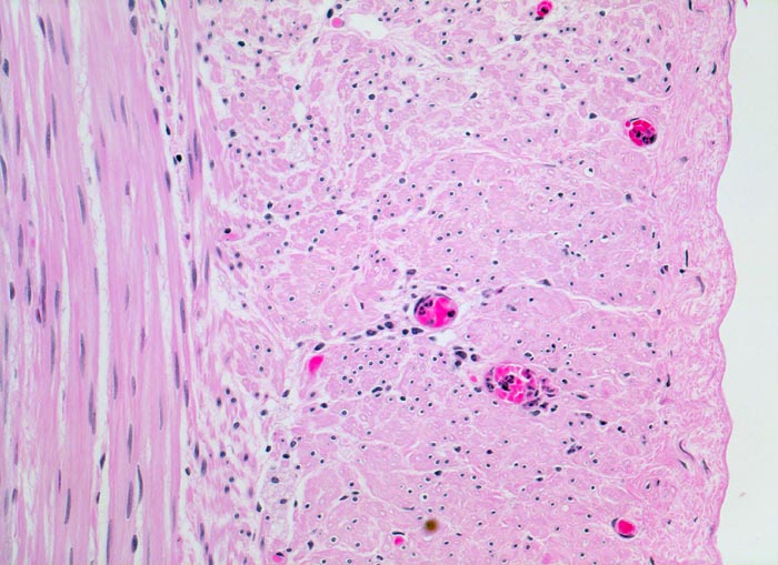
PathoPic ID 4146 - Muscularis propria der Appendix
de
Diagnose
Muscularis propria der Appendix
Diagnose Gruppe
Normalbefund
Topographie
Appendix vermiformis
Topographie Gruppe
Darm, Anus
Beschreibung
Links die innere zirkuläre Schicht der Muscularis propria (Tunica muscularis), rechts davon die äussere longitudinale Schicht. Kleine Gefässe mit intraluminalen Granulozyten (operativ bedingt). Keine Auflagerungen auf der Serosa.
Klinik
Gelegenheitsappendektomie.
Bilder Typ
Histologie
Vergrösserung
200
Alter
33
Geschlecht
unbekannt
Datum
Ersteintrag: 04.03.2002
Update: 04.02.2024
CPS
·
©
2024 Institut für Pathologie Basel
/
Dr. med. Katharina Glatz-Krieger
.
·
v2.1