PathoPic – image database / PathoPic ID 4165 - Plasmazellmyelom

de
Diagnose
Plasmazellmyelom
Diagnose Gruppe
maligner Tumor
Topographie
Knochenmark, Wirbelkörper
Topographie Gruppe
Lymphatische Gewebe, KM, Milz
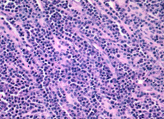
Beschreibung
Die neoplastischen Plasmazellen bilden lockere solide Zellverbände durchzogen von kapillären Gefässen.
Klinik
Notfalleinweisung wegen umschriebenen Thoraxschmerzen ohne adäquates Trauma. Im Röntgenbild Nachweis multipler Frakturen der Wirbelsäule und der Rippen bei grobsträhniger Osteoporose. In der Serumelektrophorese Nachweis einer Paraproteinämie. Dutcher bodies treten auf bei monoklonaler Immunglobulinproduktion. Sie sind nicht spezifisch für multiple Myelome, sondern können auch beim Morbus Waldenström, lymphoplasmozytischen Lymphomen oder MALT Lymphomen auftreten.
Bilder Typ
Histologie
Vergrösserung
200
Alter
64
Geschlecht
männlich
Datum
Ersteintrag: 04.03.2002
Update: 04.02.2024