Diagnose
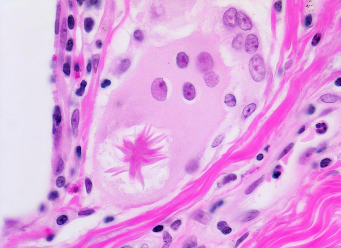
Asteroidkörperchen in Fremdkörperriesenzelle
Diagnose Gruppe
Artefakt / Fremdkörper / Pigment
Beschreibung
Riesenzelle vom Fremdkörpertyp mit unregelmässig angeordneten Kernen. Innerhalb einer Aufhellung des Zytoplasmas liegt eine sternförmige Struktur (Asteroidkörperchen).
Zusatzbefund
Silikongranulome
Klinik
St. n. Ablatio mammae li. St. n. Brustrekonstruktion mit Silikonprothese. Aktuell: Prothesenwechsel wegen Fibrose.
Kommentar
Asteroidkörperchen kommen als zytoplasmatische Einschlüsse in Riesenzellen von Granulomen vor. Man trifft sie an bei Sarkoidose, Tuberkulose, Lepra, Pilzinfekten, Schistosomiasis. Ausserdem kommen sie vor in Lipid- und Fremdkörpergranulomen. Die Zusammensetzung und die Pathogenese ihres Entstehens ist unbekannt.
Datum
Ersteintrag: 04.03.2002
Update: 04.02.2024