PathoPic – image database / PathoPic ID 4174 - Primordialfollikel in der Ovarrinde

de
Diagnose
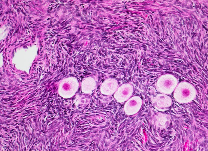
Primordialfollikel in der Ovarrinde
Diagnose Gruppe
Normalbefund
Topographie
Ovar
Topographie Gruppe
Genitalorgane, weiblich
Beschreibung
Primordialfollikel umgeben von einer einzelnen Schicht flacher Follikelzellen (spätere Granulosazellen). Die Keimzellen sind eingebettet in ein zellreiches spindelförmiges kortikales Stroma.
Kommentar
Im Verlauf des Lebens geht ein Grossteil der Primordialfollikel zu Grunde ohne eine Narbe zu hinterlassen. Eine Minderheit entwickelt sich weiter und können in jedem Stadium der Entwicklung atresieren.
Bilder Typ
Histologie
Vergrösserung
200
Alter
30
Geschlecht
unbekannt
Datum
Ersteintrag: 04.03.2002
Update: 04.02.2024