PathoPic – image database / PathoPic ID 4176 - unreife Plattenepithelmetaplasie in der Umwandlungszone

de
Diagnose
unreife Plattenepithelmetaplasie in der Umwandlungszone
Diagnose Gruppe
Normalbefund
Topographie
Zervix
Topographie Gruppe
Genitalorgane, weiblich
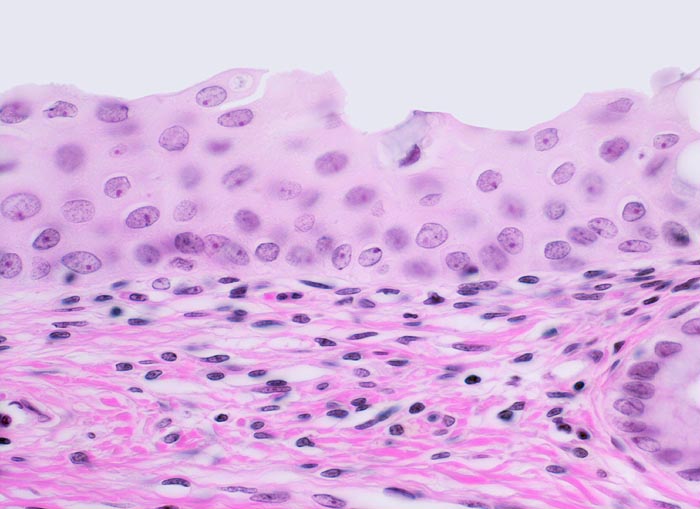
Beschreibung
Das endozervikale Epithel wird im Bereich der Umwandlungszone ersetzt durch ein Plattenepithel aus monomorphen Zellen, welche zur Oberfläche hin keine Ausreifung zeigen und auf der gesamten Epithelbreite basalen Zellen gleichen. Obwohl die Kern-Zytoplasmarelation erhöht ist, zeigen die Kerne keine Atypien, das Chromatin ist fein verteilt, die Kernkonturen sind glatt, die Nucleolen sind klein und die Zellen sind regelmässig angeordnet. Zwischen den Plattenepithelzellen lassen sich vereinzelte noch nicht ersetzte Schleimzellen nachweisen.
Kommentar
Dysplasien nehmen meist in der Umwandlungszone mit ihrem metaplastischen Plattenepithel ihren Ursprung. Die hohe Kern-Zytoplasmarelation der unreifen Plattenepithelmetaplasie sollte nicht dazu verleiten, eine Dysplasie zu diagnostizieren.
Bilder Typ
Histologie
Vergrösserung
40
Alter
42
Geschlecht
unbekannt
Datum
Ersteintrag: 04.03.2002
Update: 04.02.2024