Pathopic
HiPaKu
ZyPaKu
PathoBasic
PathoBasic Cytology
Quizzes
Projektinfos
PathoPic - Projekt- und Copyright-Infos
About
Pathopic
HiPaKu
ZyPaKu
PathoBasic
PathoBasic Cytology
Quizzes
PathoPic – image database
/
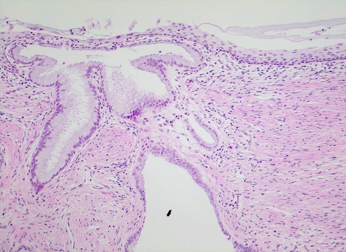
PathoPic ID 4183 - Plattenepithelmetaplasie in der Umwandlungszone
de
Diagnose
Plattenepithelmetaplasie in der Umwandlungszone
Diagnose Gruppe
Normalbefund
Topographie
Zervix
Topographie Gruppe
Genitalorgane, weiblich
Beschreibung
Das endozervikale Epithel wird im Bereich der Umwandlungszone ersetzt durch ein schmales nicht verhornendes metaplastisches Plattenepithel. Die Zervixdrüsen weisen ein hochprismatisches Epithel mit reichlich hellem Zytoplasma auf.
Bilder Typ
Histologie
Vergrösserung
100
Alter
42
Geschlecht
unbekannt
Datum
Ersteintrag: 04.03.2002
Update: 04.02.2024
CPS
·
©
2024 Institut für Pathologie Basel
/
Dr. med. Katharina Glatz-Krieger
.
·
v2.1