PathoPic – image database / PathoPic ID 4185 - atretischer Follikel

de
Diagnose
atretischer Follikel
Diagnose Gruppe
Normalbefund
Topographie
Ovar
Topographie Gruppe
Genitalorgane, weiblich
Beschreibung
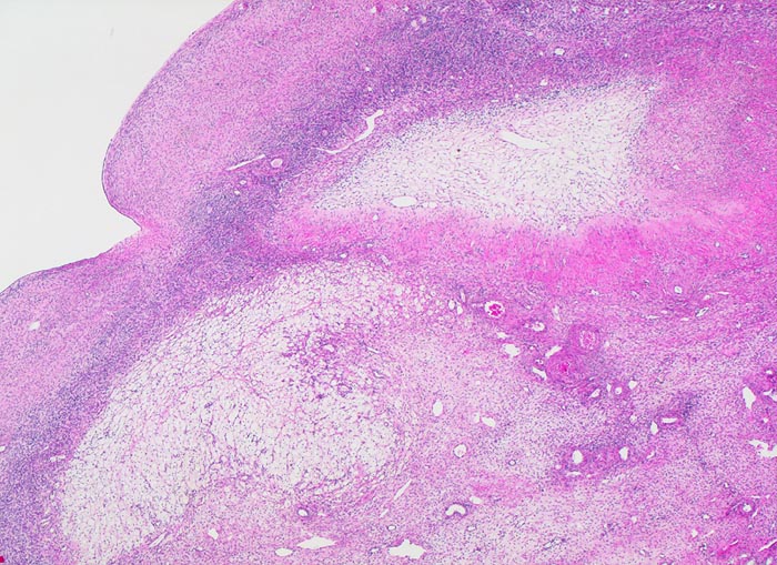
Rechts oben im Bild ein atretischer Follikel: Die zentrale Zone wird durch lockeres Bindegewebe ersetzt. Die Zona pellucida (Basalmembran) ist kollabiert und ist gekräuselt und umfasst das lockere Zentrum. Degenerierendes Corpus luteum menstruationis links unten im Bild bestehend aus hellen Granulosaluteinzellen mit lipidreichem Zytoplasma und pyknotischen Kernen.
Kommentar
Im Verlauf des Lebens geht ein Grossteil der Primordialfollikel zu Grunde ohne eine Narbe zu hinterlassen. Eine Minderheit entwickelt sich weiter und können in jedem Stadium der Entwicklung atresieren. Nach der Atresie eines grossen Follikels kann sich eine grosse kollagene Narbe bilden, ein Corpus fibrosum, welches wie ein Corpus albicans geformt ist.
Bilder Typ
Histologie
Vergrösserung
25
Alter
30
Geschlecht
unbekannt
Datum
Ersteintrag: 04.03.2002
Update: 04.02.2024