Pathopic
HiPaKu
ZyPaKu
PathoBasic
PathoBasic Cytology
Quizzes
Projektinfos
PathoPic - Projekt- und Copyright-Infos
About
Pathopic
HiPaKu
ZyPaKu
PathoBasic
PathoBasic Cytology
Quizzes
PathoPic – image database
/
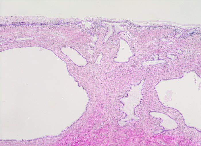
PathoPic ID 4186 - Umwandlungszone mit Zervixdrüsenretentionszysten
de
Diagnose
Umwandlungszone mit Zervixdrüsenretentionszysten
Diagnose Gruppe
Normalbefund
Topographie
Zervix
Topographie Gruppe
Genitalorgane, weiblich
Beschreibung
Umwandlungszone: metaplastisches Plattenepithel bedeckt das endozervikale Drüsenfeld. Die Plattenepithelmetaplasie führt zu Verschlüssen der Drüsenausführgänge. Deshalb ist ein Teil der endozervikalen Drüsen stark dilatiert.
Bilder Typ
Histologie
Vergrösserung
25
Alter
42
Geschlecht
unbekannt
Datum
Ersteintrag: 04.03.2002
Update: 04.02.2024
CPS
·
©
2024 Institut für Pathologie Basel
/
Dr. med. Katharina Glatz-Krieger
.
·
v2.1