PathoPic – image database / PathoPic ID 4194 - normale Nebenniere: Zona glomerulosa und Zona fasciculata

de
Diagnose
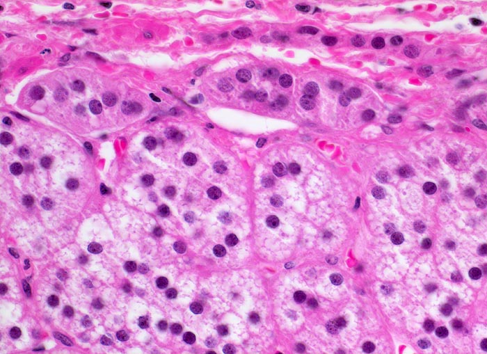
normale Nebenniere: Zona glomerulosa und Zona fasciculata
Diagnose Gruppe
Normalbefund
Topographie
Nebenniere
Topographie Gruppe
Endokrinium
Beschreibung
Schichten der Nebenniere von oben nach unten:
Zona glomerulosa: kleine eosinophile Zellen mit dunklem Kern; Zellnester. Bildungsort für Mineralocorticoide.
Zona fasciculata: große, helle, schaumige Zellen radiär ausgerichtete, parallele Zellsäulen. Bildungsort für Glucocorticoide.
Kommentar
Das kombinierte Gewicht beider Nebennieren bei gesunden Erwachsenen Frauen und Männern beträgt ca. 8g. Die Dicke der normalen Nebennierenrinde beträgt 1mm (0.7-1.3mm).
Bilder Typ
Histologie
Vergrösserung
400
Alter
54
Geschlecht
männlich
Datum
Ersteintrag: 05.03.2002
Update: 04.02.2024