Pathopic
HiPaKu
ZyPaKu
PathoBasic
PathoBasic Cytology
Quizzes
Projektinfos
PathoPic - Projekt- und Copyright-Infos
About
Pathopic
HiPaKu
ZyPaKu
PathoBasic
PathoBasic Cytology
Quizzes
PathoPic – image database
/
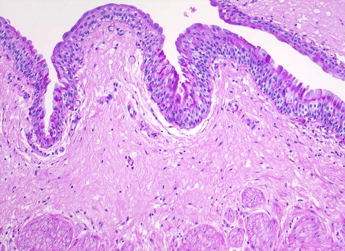
PathoPic ID 4201 - normaler Ureter
de
Diagnose
normaler Ureter
Diagnose Gruppe
Normalbefund
Topographie
Ureter
Topographie Gruppe
Niere, Harnwege
Beschreibung
Die Zellen des Übergangsepithels enthalten wenig PAS positives (rotes) Glykogen.
Bilder Typ
Histologie
Vergrösserung
100
Alter
54
Geschlecht
männlich
Datum
Ersteintrag: 05.03.2002
Update: 04.02.2024
CPS
·
©
2024 Institut für Pathologie Basel
/
Dr. med. Katharina Glatz-Krieger
.
·
v2.1