PathoPic – image database / PathoPic ID 4203 - normaler Ureter

de
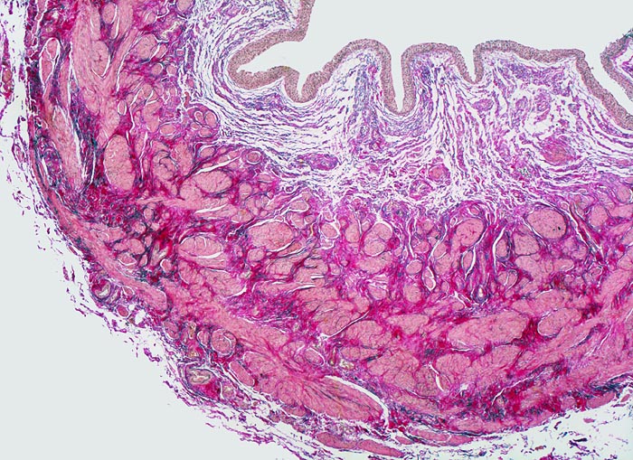
Diagnose
normaler Ureter
Diagnose Gruppe
Normalbefund
Topographie
Ureter
Topographie Gruppe
Niere, Harnwege
Beschreibung
Mehrreihiges Urothel über lockerem subepithelialem Stroma. Daran angrenzend das Stratum longitudinale der (gelben) Harnblasenwandmuskulatur und schliesslich das Stratum circulare. Angrenzend an die Muskulatur die gefässführende Adventitia.
Bilder Typ
Histologie
Vergrösserung
25
Alter
54
Geschlecht
männlich
Datum
Ersteintrag: 05.03.2002
Update: 04.02.2024