PathoPic – image database / PathoPic ID 4219 - lobuläres Carcinoma in situ

de
Diagnose
lobuläres Carcinoma in situ
Diagnose Gruppe
maligner Tumor
Topographie
Mamma
Topographie Gruppe
Mamma
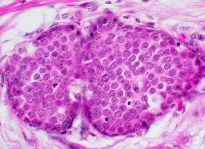
Beschreibung
Ausgeweitetes Läppchen ausgefüllt von auffallend monomorphen Zellen.
Bilder Typ
Histologie
Vergrösserung
400
Alter
57
Geschlecht
unbekannt
Datum
Ersteintrag: 05.03.2002
Update: 04.02.2024