Pathopic
HiPaKu
ZyPaKu
PathoBasic
PathoBasic Cytology
Quizzes
Projektinfos
PathoPic - Projekt- und Copyright-Infos
About
Pathopic
HiPaKu
ZyPaKu
PathoBasic
PathoBasic Cytology
Quizzes
PathoPic – image database
/
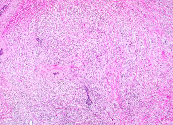
PathoPic ID 4221 - invasiv lobuläres Karzinom
de
Diagnose
invasiv lobuläres Karzinom
Diagnose Gruppe
maligner Tumor
Topographie
Mamma
Topographie Gruppe
Mamma
Beschreibung
Die Tumorzellen bilden keine Drüsen, sondern sind hintereinander zu Strängen angeordnet. Diese liegen eingebettet in reichlich desmoplastisches Stroma. Stehengebliebene
Gänge werden von den Tumorzellen "umflossen".
Bilder Typ
Histologie
Vergrösserung
25
Alter
57
Geschlecht
unbekannt
Datum
Ersteintrag: 19.03.2002
Update: 04.02.2024
CPS
·
©
2024 Institut für Pathologie Basel
/
Dr. med. Katharina Glatz-Krieger
.
·
v2.1