PathoPic – image database / PathoPic ID 4240 - akute Pankreatitis: Parenchymnekrose

de
Diagnose
akute Pankreatitis: Parenchymnekrose
Diagnose Gruppe
Entzündung / Reparatur
Topographie
Pankreas
Topographie Gruppe
Leber, Gallenwege, Pankreas
Beschreibung
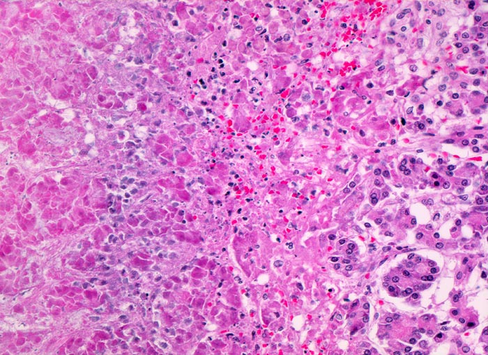
Rechts im Bild vitales Pankreasparenchym übergehend in eine Nekrosezone. Zwischen dem noch schattenhaft erkennbaren vollständig nekrotischen Parenchym links im Bild und dem vitalen Parenchym rechts im Bild erkennt man den hämorrhagischen Randsaum (Erythrozyten) und Infiltrate von neutrophilen Granulozyten. Die Neutrophilen sind teilweise bereits zerfallen.
Zusatzbefund
-
Klinik
Bekannter Ethylabusus. Nach einem Alkoholexzess kam der Patient wegen heftigster epigastrischer, in den Rücken ausstrahlender Abdominalschmerzen und orthostatischer Hypotonie auf die Notfallstation. 60 Stunden nach Spitaleintritt entwickelt der Patient ein Multiorganversagen und verstirbt.
Kommentar
Die Anwesenheit von neutrophilen Granulozyten beweist, dass es sich um eine intravitale Nekrose handelt. Das autoptische Pankreas zeigt aufgrund des hohen Enzymgehaltes oft starke Autolyseerscheinungen (vom Aspekt her identisch wie die Nekrose links im Bild). Neutrophile Granulozyten und Erythrozytenextravasate angrenzend an das erhaltene Parenchym findet man aber nur bei intravitalen Nekrosen.
Bilder Typ
Histologie
Vergrösserung
200
Alter
30
Geschlecht
männlich
Datum
Ersteintrag: 06.10.2002
Update: 04.02.2024