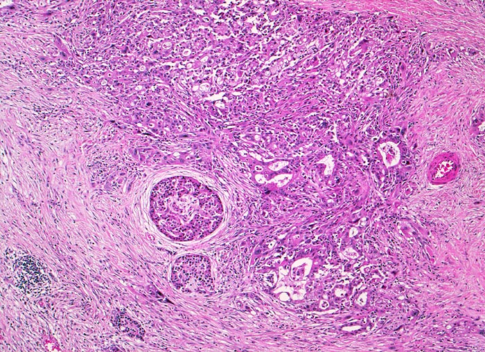
Kleindrüsiges Tumorinfiltrat. Angrenzend an das Tumorinfiltrat ausgeprägte Fibrose (harter Tumor!) mit lockerem Entzündungsinfiltrat und einzelne erhaltene Pankreasinseln.
Zusatzbefund
Unscharf begrenzter weisser derber Herd im Pankreaskopfbereich. Stenosierung und praestenotische Dilatation von Ductus choledochus und Pankreasgang vor der Papille.
Klinik
Zunehmender schmerzloser Ikterus. Sonographische Darstellung einer 4cm grossen echoarmen Raumforderung im Pankreaskopfbereich. Dilatation des Pankreasganges und des Ductus choledochus. Whipple Operation.