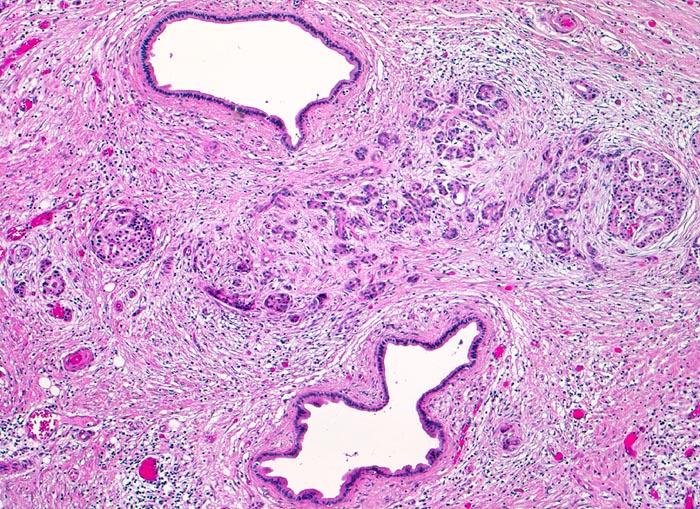
Zwischen zwei dilatierten Pankreasgängen ist ein stark fibrosiertes Pankreasläppchen mit atrophen Acini erkennbar. Daneben ist eine erhaltene Insel erkennbar. Das Parenchym ist stark fibrosiert. Die andeutungsweise erkennbare Läppchenarchitektur und die fehlenden Zellatypien helfen zur Abgrenzung des entzündlich veränderten atrophen Parenchyms von einem Tumorinfiltrat (ungeordnete Drüsenschläuche).
Zusatzbefund
Unscharf begrenzter weisser derber Herd im Pankreaskopfbereich. Stenosierung und praestenotische Dilatation von Ductus choledochus und Pankreasgang vor der Papille.
Klinik
Zunehmender schmerzloser Ikterus. Sonographische Darstellung einer 4cm grossen echoarmen Raumforderung im Pankreaskopfbereich. Dilatation des Pankreasganges und des Ductus choledochus. Whipple Operation.
Kommentar
Ursache einer obstruktiven Pankreatitis ist meist eine ausgeprägte Stenose des Hauptgangs, am häufigsten durch
einen Tumor im Pankreaskopf. Weniger
häufig sind große, nahe der Papille eingeklemmte Gallensteine. Durch den langzeitigen Gangverschluß kommt es zum Untergang aller stromaufwärts der Obstruktion liegenden Azinuszellen. Da es im Bereich der chronischen Pankreatitis und des Tumors (Desmoplasie) zu einer Fibrose kommt, ist es makroskopisch oft nicht möglich den Tumor von reaktiven Veränderungen abzugrenzen.