Diagnose
duktales Adenokarzinom des Pankreas
Diagnose Gruppe
maligner Tumor
Topographie Gruppe
Leber, Gallenwege, Pankreas
Beschreibung
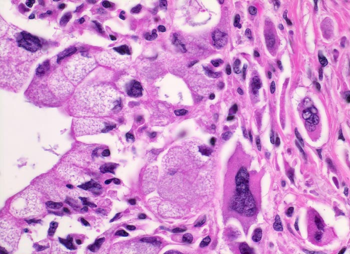
Links im Bild eine maligne Drüse mit fein vakuolisiertem Epithel. Rechts davon Infiltrate von einzelnen, teils mehrkernigen Tumorzellen mit ausgeprägten Atypien. Die fehlende Drüsenbildung und die schweren Atypien sind Merkmale eines wenig differenzierten Karzinoms.
Zusatzbefund
Unscharf begrenzter weisser derber Herd im Pankreaskopfbereich. Stenosierung und praestenotische Dilatation von Ductus choledochus und Pankreasgang vor der Papille.
Klinik
Zunehmender schmerzloser Ikterus. Sonographische Darstellung einer 4cm grossen echoarmen Raumforderung im Pankreaskopfbereich. Dilatation des Pankreasganges und des Ductus choledochus. Whipple Operation.
Kommentar
Karzinomdrüsen mit schaumzelligem Zytoplasma bilden eine histologische Variante des duktalen Adenokarzinoms. Lediglich der verdickte apikale Zytoplasmasaum enthält Schleim nicht jedoch die feinen Vakuolen.
Datum
Ersteintrag: 02.06.2002
Update: 04.02.2024