PathoPic – image database / PathoPic ID 4251 - Polyarteritis nodosa Makroform: akute Phase

de
Diagnose
Polyarteritis nodosa Makroform: akute Phase
Diagnose Gruppe
Systemerkrankung/Immunpathologie
Topographie
Niere
Topographie Gruppe
Niere, Harnwege
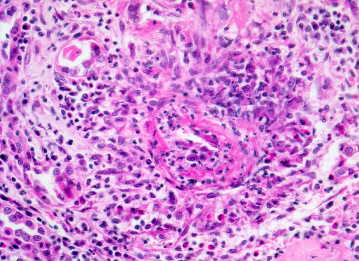
Beschreibung
Kleinere Arterie mit einer nicht ganz frischen zirkulären fibrinoiden Gefässwandnekrose. Die Gefässwand ist stellenweise vollständig unterbrochen. Das ganze Gefäss ist mantelförmig umgeben von einem gemischten Entzündungsinfiltrat aus neutrophilen und eosinophilen Granulozyten, Lymphozyten, Plasmazellen und zahlreichen Histiozyten mit länglichen Kernen. In der Gefässwand selbst sind zerfallende neutrophile Granulozyten erkennbar.
Zusatzbefund
Makroskopischer Befund der Nieren: Vergrösserte Nieren mit Petechien und mehreren frischen, teils hämorrhagischen Infarkten.
Klinik
Seit einigen Wochen Fieber unklarer Ätiologie, Gewichtsverlust und Anämie. Im Rahmen der Abklärungen erstmals festgestellte arterielle Hypertonie. Der Patient verstirbt an einem Myokardinfarkt.
Kommentar
Infolge transmuraler Nekrosen kommt es zur Ausbildung von Aneurysmata (Aneurysma spurium). Diese sind angiographisch nachweisbar.
Bilder Typ
Histologie
Vergrösserung
200
Alter
64
Geschlecht
unbekannt
Datum
Ersteintrag: 02.07.2002
Update: 04.02.2024