PathoPic – image database / PathoPic ID 4256 - Benignes fibröses Histiozytom

de
Diagnose
Benignes fibröses Histiozytom
Diagnose Gruppe
benigner Tumor
Topographie
Haut, obere Extremität
Topographie Gruppe
Haut
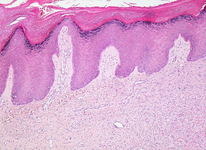
Beschreibung
Die Epidermis über dem unscharf begrenzten dermalen Tumor ist hyperplastisch. Die Reteleisten sind verlängert. Es besteht ausserdem eine leichte Hyperkeratose. Intradermal findet sich ein mässig dichtes, unscharf begrenztes Tumorzellinfiltrat, welches die Kollagenfasern aufsplittert.
Zusatzbefund
Auf Schnitt durch das Hautexzisat ist ein gelber unscharf begrenzter intradermaler Knoten erkennbar.
Klinik
Derber indolenter rotbrauner Knoten am Arm, Durchmesser des Knotens 5mm.
Bilder Typ
Histologie
Vergrösserung
50
Alter
48
Geschlecht
unbekannt
Datum
Ersteintrag: 06.10.2002
Update: 04.02.2024