Pathopic
HiPaKu
ZyPaKu
PathoBasic
PathoBasic Cytology
Quizzes
Projektinfos
PathoPic - Projekt- und Copyright-Infos
About
Pathopic
HiPaKu
ZyPaKu
PathoBasic
PathoBasic Cytology
Quizzes
PathoPic – image database
/
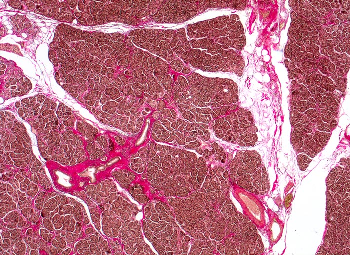
PathoPic ID 4261 - Normales exokrines Pankreas
de
Diagnose
Normales exokrines Pankreas
Diagnose Gruppe
Normalbefund
Topographie
Pankreas
Topographie Gruppe
Leber, Gallenwege, Pankreas
Beschreibung
In der Übersicht wird die Lobulierung des Pankreasparenchyms sichtbar. Zwischen den Läppchen verlaufen schmale Bindegewebssepten mit
Ausführungsgängen und Gefässen.
Bilder Typ
Histologie
Alter
81
Geschlecht
männlich
Datum
Ersteintrag: 05.04.2002
Update: 04.02.2024
CPS
·
©
2024 Institut für Pathologie Basel
/
Dr. med. Katharina Glatz-Krieger
.
·
v2.1