PathoPic – image database / PathoPic ID 4262 - Normales exokrines Pankreas

de
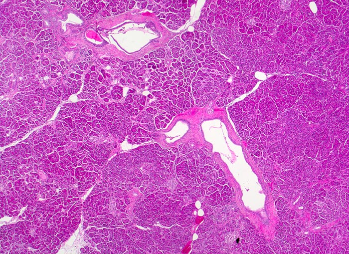
Diagnose
Normales exokrines Pankreas
Diagnose Gruppe
Normalbefund
Topographie
Pankreas
Topographie Gruppe
Leber, Gallenwege, Pankreas
Beschreibung
Das Pankreas ist von einer dünnen Kapsel umgeben, von der aus schmale bindegewebige Septen in das Parenchym eindringen und zu einer Lobulierung führen. In den Septen verlaufen die Ausführgänge des exokrinen Pankreas. Die einzelnen Läppchen bestehen aus mehreren Azini (=mehrere Azinuszellen gruppiert um zentroazinäre Zellen überleitend in ein Schaltstück).
Bilder Typ
Histologie
Vergrösserung
25
Alter
81
Geschlecht
männlich
Datum
Ersteintrag: 05.04.2002
Update: 04.02.2024