PathoPic – image database / PathoPic ID 4308 - Normales Epikard

de
Diagnose
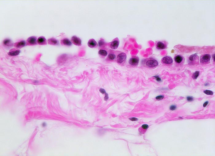
Normales Epikard
Diagnose Gruppe
Normalbefund
Topographie
Perikard
Topographie Gruppe
Körperhöhlen, Serosa
Beschreibung
Einschichtiges kubisches Mesothel mit kollagenfasriger Stromaunterlage.
Bilder Typ
Histologie
Vergrösserung
630
Alter
75
Geschlecht
männlich
Datum
Ersteintrag: 05.04.2002
Update: 04.02.2024