Diagnose
embolischer Mesenterialinfarkt
Diagnose Gruppe
vaskulär / Durchblutungsstörung
Topographie Gruppe
Kardiovaskuläres System
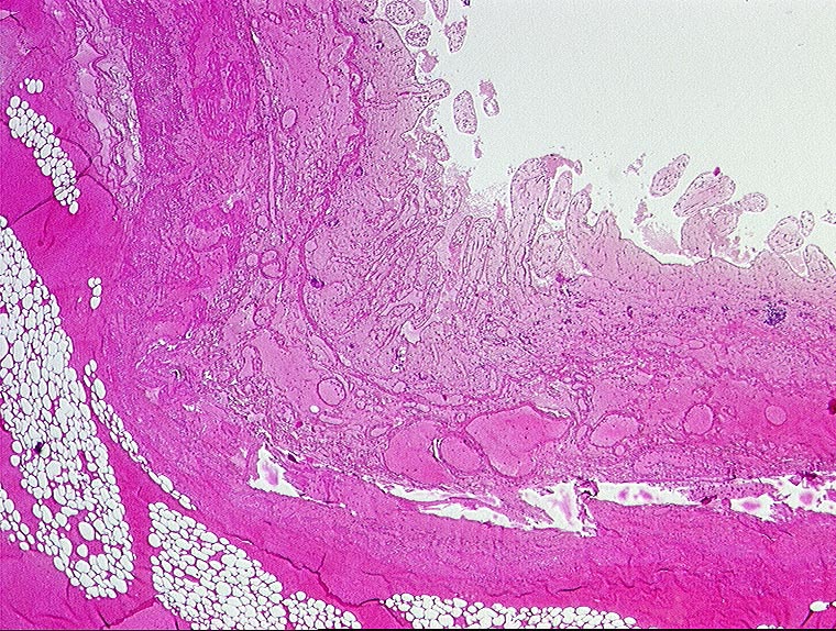
Beschreibung
Hämorrhagische Nekrose der Darmwand.
Zusatzbefund
Alter Myokardinfarkt Parietalthrombus. Frische Emboli in eröffneten Ästen der Arteria mesenterica superior.
Datum
Ersteintrag: 09.11.2001
Update: 04.02.2024