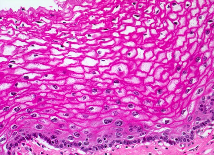
Mehrschichtiges, nicht verhornendes Plattenepithel. Ausreifung der Zellen zum Lumen hin mit zunehmender Verkleinerung der Kerne und intrazytoplasmatischer Glykogeneinlagerung (helles Zytoplasma, das Glykogen ist herausgelöst). Einreihige Basalzellschicht.