PathoPic – image database / PathoPic ID 4330 - normale Nebenschilddrüse: Hauptzellen

de
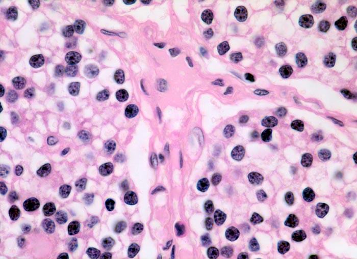
Diagnose
normale Nebenschilddrüse: Hauptzellen
Diagnose Gruppe
Normalbefund
Topographie
Nebenschilddrüse
Topographie Gruppe
Endokrinium
Beschreibung
Zu Zellballen angeordnete Hauptzellen. Zwischen den Zellballen verlaufen feine Bindegewebssepten mit Gefässen. Die Hauptzellen bilden das Parathormon. Sie enthalten basophile Granula, Glykogen und Lipide im Zytoplasma. Die Kerne sind rund, das Chromatin ist sehr dicht. Je nach Funktionszustand erscheinen Hauptzellen hell (glykogenreiche wasserhelle Zellen, wenig aktiv) oder dunkel (aktiv).
Bilder Typ
Histologie
Vergrösserung
630
Alter
64
Geschlecht
männlich
Datum
Ersteintrag: 05.04.2002
Update: 04.02.2024